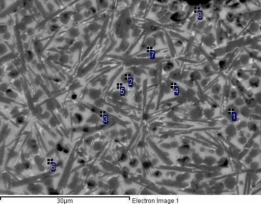
Project 1
 
Processing option : All elements analysed (Normalised)
| Spectrum | In stats. | C | Al | Ti | Ni | Total | |
| 1 | Yes | 22.41 | 0.91 | 75.97 | 0.70 | 100.00 | |
| 2 | Yes | 21.81 | 1.46 | 75.74 | 0.99 | 100.00 | |
| 3 | Yes | 16.20 | 14.12 | 67.16 | 2.52 | 100.00 | |
| 4 | Yes | 15.31 | 18.01 | 59.79 | 6.89 | 100.00 | |
| 5 | Yes | 3.53 | 23.70 | 43.43 | 29.34 | 100.00 | |
| 6 | Yes | 4.73 | 25.43 | 40.57 | 29.28 | 100.00 | |
| 7 | Yes | 9.75 | 19.26 | 30.42 | 40.56 | 100.00 | |
| 8 | Yes | 9.35 | 16.17 | 38.35 | 36.13 | 100.00 | |
| Mean | 12.89 | 14.88 | 53.93 | 18.30 | 100.00 | ||
| Std. deviation | 7.21 | 9.22 | 17.95 | 17.09 | |||
| Max. | 22.41 | 25.43 | 75.97 | 40.56 | |||
| Min. | 3.53 | 0.91 | 30.42 | 0.70 | 
All results in weight%